يقول (دوغ ويليامسون- Doug Williamson): «يُعد البحث العلمي حول المخ كالمسابقات، ولكنها مسابقات كثيرة الرهانات». ويليامسون هو كبير المسؤولين ونائب رئيس شركة (لوندبيك- Lundbeck)، وهي شركة أدوية عالمية تهتم بأمراض المخ. يعمل ويليامسون مع فريق من العلماء، وهدفهم الأساسي هو البحث حول مشكلات أكثر الأنظمة المحمية والمعقدة في العالم: المخ.
يقول ويليامسون:
«دراسة الدماغ تشبه محاولة فهم شفرة معقدة، في نفس الوقت الذي يترصد لك فيه أحد الفيروسات، ليهاجمك ويتلف كل بياناتك».
تبحث الشركة التي يعمل فيها ويليامسون عن أدوية جديدة لعلاج اضطرابات المخ المعقدة مثل مرض ألزهايمر- Alzheimer’s disease)، والذي يصيب حوالي (5,5) مليون إنسان في الولايات المتحدة، ويحتل المركز السادس لأسباب الوفاة على مستوى الولايات المتحدة.
ويضيف قائلًا:
«التحدي الأكبر هو أنك لا تعرف متى سيهاجم الفيروس أو ما العوامل التي قد تساعد في حدوثه».
يمتلك كل عضو في الجسم رونقه الخاص وغموضه، ولكن المخ -الذي ينسّق كل الأعضاء الأخرى، معقد بشكل خاص.
ويستكمل قائلًا:
«المخ هو المكان حيث تكمن شخصياتنا، أفكارنا، وكينونتنا».
ثم يستكمل:
«يعتبر الكثيرون ذلك شيئًا عاديًا، حتى يُفقد»
قد تساعد عينات الدم في فهم المرض قليلًا، ولكن تظل تعقيدات الدماغ حائلًا أمام فهم كيمياء وطريقة توصيل وعمل الأعصاب، والتوصل للمشكلات التي تحدث في المرضى. ولهذا، فإن علاج أمراض المخ شديد الصعوبة.
إحدى المعوقات التي تواجه علماء الأعصاب خلال بحثهم عن علاج جديد هو إيجاد متطوعين للتجارب السريرية. لأن اضطرابات المخ كألزهايمر يصعب تشخيصها في المراحل الأولى، فالوصول لمتطوعين في المراحل الأولى من المرض أو في مرحلة ما قبل الأعراض سيساهم بشدة في فهم تطوّر المرض، وبالتالي قد يساعد في إيجاد علاجات من شأنها أن تُبطئ أو تمنع ظهور هذا الاضطراب الذي ينهش الذاكرة.

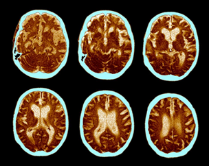
صورة (1): يظهر مسح الدماغ لمرضى ألزهايمر فقدانًا تدريجيًا في خلايا الدماغ، ويحدث ذلك بسبب ترسب بروتين غير طبيعي في الدماغ، والذي بدوره يقتل الخلايا العصبية ويتسبب في ضمور المخ.
المصدر:
SCIENCE PHOTO LIBRARY - ZEPHYR, GETTY
ويوضح ويليامسون: أدت تلك الصعوبات لعدم وجود أي تقدم بحثي في مجال أمراض الدماغ وبالأخص ألزهايمر. على صعيد آخر، استطاعت الأبحاث إيجاد علاجات لأمراض خطيرة مثل فيروس نقص المناعة (HIV) وبعض السرطانات، وحولتها من أمراض مميتة لأمراض مزمنة يمكن التحكم فيها. ولكن حتى الآن لا يمكن علاج، أو تجنّب، أو حتى الإبطاء من حدوث ألزهايمر على الرغم من مليارات الدولارات المستثمرة في الأبحاث. في الفترة من (1998-2017)، استطاعت (4) أدوية فقط لمرض ألزهايمر شق طريقها للسوق الأمريكي، بينما فشلت (146) محاولة أخرى.
ما السبب في عدم النجاح؟ يوضح ويليامسون: لم يتمكن العلماء بعد من فهم السبب الدقيق لحدوث المرض، على الرغم من البحث العلمي المستمر الذي بدأ منذ اكتشاف المرض في العام (1906). النظرية السائدة تُرجح ترسب بروتين غير طبيعي في الدماغ يتسبب في توقف نشاط الخليّة العصبيّة وضمور أنسجة الدماغ. ولكن، لم يستطع العلماء حتى الآن تفسيرها بسبب ترسّب تلك البروتينات، أو بالضبط ما الدور الذي تلعبه تلك الترسبات في موت الخلايا والذي يؤدي إلى ظهور أعراض مرض ألزهايمر.
ويصرح ويليامسون:
«لم ندخر جهدًا لعقود محاولين الوصول لفهم أفضل حول طبيعة هذه الأمراض وبالتالي ابتكار علاج جديد، ولكن لا يوجد تقدم واضح حتى الآن»
يشير ويليامسون أن بلا علاج لمرض ألزهايمر، يتوقع الخبراء أن يصل عدد الأمريكيين المصابين بالمرض في عام (2050) لضعف العدد الحالي، والذي يكلف الدولة أكثر من تريليون دولار نفقات طبيّة متعلقة مباشرةً بمرض ألزهايمر.
هذا لا يعني أن كل جهود علماء الأعصاب والباحثين قد ذهبت سُدى. تبلورت في السنوات الأخيرة فكرة (وجود العوائق لا يعني الفشل)، وفهم الجميع أن كل تجربة سواء نجحت أم لا فهي تكشف لنا سرًا جديدًا. على الرغم من عدم وجود تقدم مبهر، إلا أن الباحثين يقتربون أكثر فأكثر من حل اللغز.
على سبيل المثال، ففي السنوات الأخيرة اكتشف العلماء المؤشرات الحيوية التي تساعد في تشخيص مرض ألزهايمر وعلاجه مبكرًا. بالإضافة لذلك، يحقق العلماء في العلاقة بين ألزهايمر والالتهابات، ليكتشفوا هل يمكن للتحكم في التهاب الأعصاب أن يمنع أو أن يقلل من أعراض المرض. كما توصل الباحثون للأسباب الجينية والعوامل الحياتية التي تزيد من احتمالية الإصابة بالمرض، ما قد يساعد بشدة في العلاجات الأولية.
ويقول ويليامسون:
«لكل بحث غير ناجح، وبعد أي علاج لا يحقق النتائج المرجوة، فإننا نتعلم شيئًا جديدًا يدفعنا للأمام»
هناك أكثر من (90) دواء يُطوّر حاليًا لعلاج مرض الزهايمر.
يستكمل ويليامسون:
«لا شك لدي أنه في القريب، سيقودنا هذا الفهم لاكتشاف سيغير حياة المرضى للأفضل»
المصدر:
Unlocking secrets of the brain [Internet]. [cited 2019 Dec 14]. Available from https://www.nationalgeographic.com/science/2019/12/partner-content-brain-hackers/
ترجمة: وفاء علي
مراجعة علميّة: نسمة محمود
تدقيق لغوي: حمزة مطالقة
تحرير: نسمة محمود





