ما هي الهندسة الطبية الحيوية؟ سنجيب على هذا السؤال من عدة زوايا مختلفة.
الزاوية الأولى هي بعرض سلسلة من الصور التي قد تتعرف عليها والحديث عن لماذا هذه الصور مثال للهندسة الطبية الحيوية.
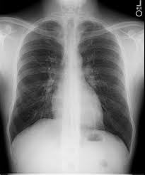
هذه صورة واحدة ربما تعلمون جميعا ما هي بمجرد رؤيتها، إنها صورة مألوفة المظهر، شيء ربما نحن جميعًا لدينا بعض الخبرة الشخصية معها، أليس كذلك؟
هذه صورة للصدر بالأشعة السينية التي قد تؤخذ في عيادة الطبيب على سبيل المثال، أو في عيادة طبيب الأشعة. تُعد مثالًا جيدًا للهندسة الطبية الحيوية، تأخذ مبدأ فيزيائيًا، وهو كيف تتفاعل الأشعة السينية مع أنسجة الجسم، وتستخدم مبادئ الفيزياء، وهذا المبدأ المادي لوضع صورة لما يدور في داخل جسمك، وذلك للنظر في الداخل ورؤية الأشياء التي لا يمكن أن تُرى من دون هذا الجهاز، وسوف تتعرف على بعض أجزاء الصورة. تستطيع أن ترى القفص الصدري، العظام، تستطيع أن ترى القلب، هذا الكائن الكبير ذو اللون الفاتح في الأسفل. إذا كان لديكم بصر جيد فقد ترون الأوعية الخارجة من القلب وإلى الرئتين، هذه المساحات المظلمة داخل القفص الصدري.
تعلّم الأطباء على مر السنين من خلال وجود هذا الجهاز كيف يُكوّنون نظرةً متطورة للغاية من خلال هذه الصور والتشخيص الدقيق عندما يكون هناك شيء خاطئ داخل الصدر على سبيل المثال، لذلك هذا هو مثال للهندسة الطبية الحيوية، مثال مندمج بشكل جيد في مجتمعنا لدرجة أنه لربما حصلنا جميعنا على صورة مشابهة سابقًا.
فعلى مدى العقدين الماضيين على وجه الخصوص؛ أصبح لدينا طرقًا متطورةً جدًا لالتقاط الصور داخل الجسم مما يسمح للأطباء بالنظر داخل الجسم، ويتوقع أشياء عن علم وظائف الأعضاء الداخلية التي لا يمكن التنبؤ بها فقط من خلال النظر إلينا أو وضع أيديهم علينا.
هذه الصورة هنا هي مثالٌ آخر على تقنية التصوير، هذا هو التصوير المقطعي بانبعاثات البوزيترون (الجسيم المُضاد للإلكترون)، أو صورة PET، أُخذت باستخدام النظائر المشعة وحقنها في جسم المريض، حتى تتفاعل المواد الكيميائية المشعة مع الأنسجة في الجسم بطريقة محددة، يمكنك من خلالها معرفة أين تذهب تلك المواد الكيميائية المشعة؛ لأنها تتيح لنا أن ننظر ليس فقط إلى تشريح ما يحدث داخل جسمك مثل الأشعة السينية؛ وإنما أيضًا إلى الكيمياء، الكيمياء الحيوية عما يحدث داخل جهاز معين أو أنسجة في الجسم.
هذه صور من الدماغ، هذا أسلوب مهم للغاية في فهم كيف تؤثر الجزيئات مثل النواقل العصبية على مرض ما وكيف تتغير حالات مرضية معينة، وسوف نتحدث عن هذا كمثال آخر الهندسة الطبية الحيوية، وهذه الطريقة المتقدمة للتصوير داخل الجسم.
حسنًا هذه الصورة الثالثة من الممكن أنك لم تشاهدها كثيرًا ولكن ربما تعرفها، أليس كذلك؟ أين أُخذت الصورة؟ فىي أي مكان؟
ربما أجاب أحدكم (في غرفة العمليات) وهذا صحيح، فإذا ذهبت إلى أي غرفة عمليات في جميع أنحاء البلاد سوف تشاهد الكثير من الأمثلة على الأدوات التي تستخدم لمساعدة الجراحين وأطباء التخدير للحفاظ على المريض على قيد الحياة وبصحة جيدة أثناء عملية جراحية.
هذا الجهاز هو آلة القلب/الرئة، يعمل كبديل لوظيفة قلب المريض ورئيتيه خلال فترة جراحة القلب المفتوح على سبيل المثال، لو كانت الحالة هي وجود انسداد في الشريان التاجي أو أنهم يقومون بعملية زرع قلب، إذًا سوف تكون هناك فترة يتوقف فيها القلب الطبيعي ويفترض أن يعمل هذا الجهاز كبديل لوظائف القلب وهذا في اعتقادي مثال واضح للهندسة الطبية الحيوية، بناء آلة يمكن أن تحل محل وظيفة واحدة من الأجهزة الخاصة بك ولو مؤقتًا، على سبيل المثال خلال عملية.
هذة صورة أخرى مألوفة، اختيرت عمدًا أن تبدو نوعًا ما من الطراز القديم مقارنة بالطريقة المعتادة، والتي قد تكون في نشرات الأخبار المسائية. يتضح للمشاهد إشارة تسير عبر الشاشة للإشارة إلى أنهم وضعوا أصابعهم على نبض ما يحدث، أو تراه في البرامج التلفزيونية مثل ER وقد تشاهد هذه الصور على شاشات الكمبيوتر في كل وقت، إنها مثال لرسم القلب أو تخطيط القلب.
إن آلة رسم القلب تنظر أيضًا داخل جسمك، ولكن بطريقة مختلفة، فبدلًا من تشكيل صورة؛ توضع أقطاب كهربائية على سطح الجسم ويقاس الجهد الكهربائي كدالة في وضعها على الجسم، واتضح أن الجهد الكهربائي أو الكهرباء التي يمكنك قياسها من على سطح الجسم تعكس الأشياء التي تحدث في العمق، مثل ضربات قلبك، فإذا قمت بوضع الأقطاب الكهربائية في المكان المناسب وقمت بالقياس الصحيح؛ يمكنك الكشف عن النشاط الكهربائي للقلب وتسجيله، أو عرضه على جهاز كمبيوتر، لذلك هذا هو مثال آخر على الهندسة الطبية الحيوية حيث يمكنك إلقاء نظرة على وظيفة القلب لشخص حي من خلال طبيب من ذوي الخبرة في النظر إلى هذه الأشياء، وجهاز يعمل بشكل جيد، بهذان العاملان يمكن تشخيص الكثير من الأشياء التي تحدث داخل القلب وسنتحدث عن ذلك لاحقًا.
قد تكون هذه الصورة غير مألوفة، لكنك ربما تعلم أنه خلال الـ(100) سنة الماضية أو أكثر، تمكنا من أخذ خلايا من شخص، أو خلايا من حيوان، والحفاظ على تلك الخلايا المعزولة على قيد الحياة في بيئة لفترات طويلة من الزمن: وتسمى هذه التقنية تقنية زراعة الخلايا. فمِن خلال أخذ خلايا من الجلد على سبيل المثال أو خلايا من الدم أو خلايا من نخاع العظام وإبقائها على قيد الحياة؛ كنا قادرين على دراسة كيفية عمل خلايا الإنسان وتعلم الكثير عن وظائف الأعضاء البشرية، لقد تعلمنا أيضًا ليس فقط كيفية حفظ الخلايا على قيد الحياة، ولكن في بعض الحالات جعلها تتزايد خارج الجسم، لذلك ربما تتمكن من أخذ بضعة خلايا من الجلد والاحتفاظ بها في بيئة بطريقة صحيحة بحيث يمكنك الحصول على الملايين من خلايا الجلد بعد عدة أسابيع أو نحو ذلك.
الآن واحدة من التقنيات الجديدة المتطورة التي نحن بصدد الحديث عنها، أخذ الخلايا وتحفيزها على تشكيل أنسجة جديدة. مثال على ذلك: هذا الجلد الاصطناعي، إنه في هذا الطبق عبارة عن غشاء رقيق، سقالة من البوليمر، وعلى هذا البوليمر وضع العلماء بعض من خلايا الجلد وسُمح لها أن تنمو. وإذا حافظت عليها بطريقة صحيحة؛ فإن هذا البوليمر جنبًا إلى جنب مع خلايا الجلد سوف ينمو إلى جلد. ويمكنك استخدام هذة الأنسجة المهندسة -الجلد- لعلاج المصابين بحروق شديدة على سبيل المثال أو مرضى السكري الذين لديهم قرح لا تلتئم. إنّ هذا مثال لتكنولوجيا تنمو الآن، ستؤثر بالتأكيد عليك في حياتك وسوف نتحدث عن الكيفية وما آخر التطورات في هذا المجال.
هذا الجهاز مصنوع من البلاستيك وقليلًا من المعدن، إنه قلب صناعي يُزرع بالكامل، تم طرحه لأول مرة منذ عدة أعوام، وتم زرعه في جسم المريض الأول، رجل في ولاية كنتاكي، وبقي على قيد الحياة لفترة من الزمن مع هذا الجهاز بدلًا من قلبه. إنّ تطوير قلب اصطناعي مرة أخرى هو مثال للهندسة الطبية الحيوية، وهو شيء كان أناسٌ كثيرون يحاولون تحقيقه لعقود، إنه ابتكار هام لعدة أسباب مختلفة ونحن بصدد الحديث عن هذا العلم، علم بناء الأجهزة الاصطناعية الأجهزة التي يتم بناؤها من مكونات اصطناعية تمامًا لتحل محل وظيفة الأجهزة الطبيعية الخاصة بك، والقلب الاصطناعي هو مثال جيد من ذلك.
هذه الصورة هي في الحقيقة مجرد سلسلة من النقاط الملونة، بعضها أصفر، وبعضها أحمر، وبعضها أخضر - لا أحد يعرف ما هذا؟ هل رأيت مثل هذه الصور؟
إنها مثال على تقنية تسمى شريحة الجين، الذي يسمح لك -في كل واحدة من هذه النقاط هناك حمض نووي محدد لجين معين في الجينوم الخاص بك- باحتضان عينة صغيرة من سائل لمريض ما على شريحة جينات مثل هذه، ويمكنك أن ترى من خلال النظر في نمط الألوان على هذه الشريحة، أي جينات تم التعبير عنها وأي جينات لم يتم التعبير عنها، لهذا الفرد بعينه، لذلك يتيح لك القيام بتحليل ليس فقط الجينات التي تملكها، بل أيضًا أي جينات تستخدم لصنع البروتينات في الخلايا التي تحيط بالسائل الذي تم جمعه، لذلك كان هذا الابتكار رائعًا، إنه مثال آخر على تقنية الهندسة الطبية الحيوية الذي يسمح لنا أن ننظر إلى ما يحدث داخل الفرد والمريض، بطريقة مختلفة تمامًا عما كنا عليه من قبل، فقد سمح لنا برؤية ما تحمله الجينات، وأيضًا الجينات التي تُستخدم في أوقات معينة في حياتك.
يعتبر هذا أداة بحث الآن، وهناك الكثير من الأسباب للاعتقاد بأن هذا سيتسبب في تغيير الطريقة التي يمارس بها الأطباء مهنتهم، عن طريق السماح لهم بتشخيص أو بالتنبؤ بما سيحدث لك بطرق لا يمتلكونها حاليًا، ولذا فإننا سوف نتحدث عن تقنيات مثل هذه لاحقًا، أساسها العلمي، وكيف يمكن أن تكون مفيدة؟
أنت تضع قطعة من البلاستيك الاصطناعي في العين لتحسين الرؤية الخاصة بك. لقد تغيرت تكنولوجيا العدسات اللاصقة بشكل كبير من الوقت الذي ولدت فيه أنا إلى الوقت الذي ولدت فيه إنت، العدسات اللاصقة التي تستخدمها اليوم تختلف كثيرًا عن تلك التي كانت تستخدم منذ ثلاثين عامًا، هذه هي الهندسة الطبية الحيوية أيضًا. المهندسون الذين يطورون مواد جديدة -إذا امعنت التفكير- ليس هناك عدد كبير جدًا من الأشياء التي تريد أن تضعها في عينك، والتي قد تشعر بالراحة بوضعها في عينيك، لذلك يجب أن تكون مادة آمنة جدًا، مادة خاملة جدًا، ما يعطيها هذه الخصائص، ما يجعلها آمنة بحيث يمكن وضعها في واحدة من أكثر الأماكن الحساسة في الجسم، في اتصال مع العين الخاصة بك، لماذا لديك الثقة في وضعها في أهم أجهزة الجسم؟ لأنك على ثقة أن مهندسين الهندسة الطبية الحيوية قد أبلوا بلاءً حسنًا في تصميم هذه المواد، وسوف نتحدث عن كيفية تصميم واختيار المواد الحيوية، وممّ تتكون، وخصائص المواد التي يمكن استخدامها كعدسات لاصقة.
هذا مثالٌ على وركٍ اصطناعي، لقد تعلمنا الكثير عن آليات وكيفية عمل البشر والكائنات الحية على مدى الـ(100) سنة الماضية، وكيف نعمل كمثل الأشياء المادية التي يجب أن تنصاع لقوانين الفيزياء، نحن نعيش في حقل الجاذبية، أنه يؤثر على الحياة اليومية، وإذا كان لديك ألم أو مرض ما في الورك أو الفخذ، فإنه لا يمكنك أن تقف ضد مجال الجاذبية كما اعتدت، والذي بدوره يؤثر بشدة على ما يمكنك القيام به، لذا أعتكف مهندسو الهندسة الطبية الحيوية العديد من السنوات على إيجاد حلول و تصميم قطع غيار للمفاصل مثل الورك (الورك الاصطناعي هو الأكثر تطورًا)، وسوف نتحدث عن هذا بالتفصيل، لك أن تتخيل كم المتطلبات التي يجب أن يحققها هذا الجهاز من أجل أن يكون جيد وسوف نتحدث عن تلك المتطلبات وكيف تغير تصميم هذا على مر السنين وما يمكن أن نتوقعه في المستقبل.
وأخيرًا، هذه صورة لجهاز أصغر بكثير، هذا في الواقع صمام قلب اصطناعي، مصنوع من البلاستيك والمعدن ويمكنه استبدال صمام داخل قلبك. الأمراض المتعلقة بصمامات القلب منتشرة في العالم؛ سنتحدث عن ذلك قليلًا، وسوف نتحدث عن كيفية عمل الصمامات العادية داخل قلبك وكيف لا يمكن لقلبك أن يعمل بالطريقة الطبيعية لو لم يكن لديك الصمامات التي تقوم بعملية معقدة للغاية عدة مرات في اليوم، وسوف نتحدث لاحقًا عن كيفية بناء شيء ليحل محل جزء صغير معقد في الجسم مثل هذا.
ترجمة واعداد: Katherine Mounir
تصميم: بثينة محمود
مراجعة:Matalgah Hamzeh
مصدر: http://oyc.yale.edu/transcript/61/beng-100
#الباحثون_المصريون #هندسة #الهندسة_الطبية_الحيوية
الباحثون المصريون بالعلم نرتقي








